11月30日,话题#男子确诊肺癌医生一根针冻死癌细胞#登上微博热搜。

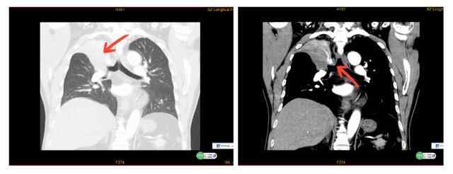
近日,深圳市龙华人民医院成功为一名肺癌患者开展广东首例“经支气管冷冻消融术”,突破了传统经胸壁冷冻消融术式的局限,成为广大肺癌患者的福音。
62岁的朱先生咳嗽伴气促已有4年,近6个月病情加重。20多天前,在龙华区人民医院呼吸与危重症医学科经支气管镜检查并活检,确诊为小细胞肺癌。

呼吸内科主任沈观乐建议,可以采用经支气管冷冻消融术治疗。据悉,这是一项处理肺癌病变的新技术。手术当天下午麻醉科主治医师谢凌峰麻醉成功后,沈观乐在余瑞林副主任医师配合下,顺利插入硬质支气管镜,再通过软镜下置入一次性软性冷冻消融针,到达病灶部位进行消融,过程顺利。

令朱先生及其家属惊叹的是,术后的第二天早上,朱先生的咳嗽症状就明显缓和了。
对此,不少网友纷纷留言评论,“太牛了吧!希望技术成熟后可以普及,让所有患者都能用上最好的技术”“真的好厉害”。


值得一提的是,今年5月,武汉市武汉大学中南医院也曾实施过这种“冷冻消融术”。
2023年6月初,罗先生在游玩时突发肠道不适,便血数次。罗先生赶到附近医院求医,在得到相应检查和治疗后,他因害怕又进行了全面体检,这一查才得知,自己罹患肝癌。
针对患者情况,武汉大学中南医院肝胆胰外科何跃明主任医师、超声医学科郑齐超教授反复研究,并组织多学科MDT讨论,最后决定选择创伤微小、恢复快的“冷冻消融术”。
2024年5月5日,罗先生在武汉大学中南医院接受“冷冻消融术”后,体内的肿块被毁损。治疗当天,他便恢复正常活动饮食,次日顺利出院!

揭秘神奇的“冷冻消融术”
冷冻消融(Cryoablation)是指利用高压氩气或氮气,使肿瘤组织冷却至零下140~160℃,冻结后,用氦气或氮气,再使靶组织从零下140℃迅速上升至零上20~40℃,这种温度梯度的变化,可让靶组织蛋白质变性、细胞裂解、组织缺血坏死。冷冻消融过程由降温和复温两部分,组成一个“冷热交替”的循环,根据治疗需要决定循环的次数和每个冷冻循环的时间。
冷冻消融对肿瘤的破坏主要包括直接细胞损伤、血管损伤、细胞凋亡和免疫效应等4种机制。
对比传统消融方法,它操作简便、创伤小,患者更易耐受、严重并发症少,还可以激发患者自身免疫。

4问冷冻消融术
冷冻消融术的降温与复温过程的反复循环次数和时间一般为多久?
一般来说反复循环次数在2~3次,但有时候会根据体内肿瘤的大小考虑循环的次数,每次大约需要10~15分钟,因此一台冷冻消融手术的时长,包括前期的准备工作,在1~2小时之间。
零下140℃的低温气体进入人体后,会对其他正常细胞或器官造成不利影响吗?
冷冻探针直接进入恶性肿瘤之中,对其造成破坏,而术前和术中已经对肿瘤做了充分的评估,规划好了冷冻作用的范围,而且冷冻作用相对来说作用比较温和,所以不会对其他正常细胞及邻近器官造成损伤。
冷冻消融术适合哪些患者?
肿瘤直径一般不超过3厘米的,生长的位置手术困难的,或者身体状况难以耐受大手术的,手术意愿不强烈或抗拒的患者,可以考虑采用消融手术。
冷冻消融术适用于哪些肿瘤疾病的治疗?
冷冻消融术能够精准地适用于肺癌、肝癌、肾癌、乳腺癌、前列腺癌以及骨肿瘤等多种实体器官肿瘤疾病的治疗,并且随着技术发展,适用的空间将进一步扩展。
(羊城晚报·羊城派综合自南方都市报、九派新闻、广东台触电新闻、第一现场&壹深圳等)