今年7月
6岁男孩玩 水后
感染狒狒阿米巴原虫(食脑虫)一事
引发广泛关注
令人惋惜的是
8月11日,噩耗传来
男孩妈妈在社交平台发布了一封感谢信
宣布了男孩去世的消息
这个叫君君的小朋友
生命定格在了6岁8个月

男童打水仗后突发感染
积极治疗月余后仍不幸去世
今年6月,孩子妈妈在社交平台发文,称孩子在上海复旦大学附属医院通过腰穿脑积液的检查,检查结果显示感染了狒狒阿米巴原虫。
至于为什么会感染,男童妈妈表示,梳理排查发现,孩子只有6月6日在学校打水仗和4月13日在公园里捞鱼(可能感染),没有去过别的地方。
7月2日,有关专家对男孩的病情进行会诊,计划使用国产的硝羟喹啉进行治疗,并且立刻进入了伦理用药流程,等待审批通过。7月3日,孩子妈妈告诉记者,有过类似遭遇的患儿父亲向他们推荐了相关制药公司,他们已经联系上。随后,在医院、药厂、热心网友的帮助下,孩子尝试了各类药物和治疗。

在PICU病房治疗月余后,8月11日,孩子妈妈悲痛地公布了孩子去世的消息。
记者了解到,狒狒巴拉姆希阿米巴导致的中枢神经系统感染病情十分凶险,并且目前还没有明确有效的治疗方法。
什么是“食脑虫”?
值得注意的是,因夏日玩水感染“食脑虫”,上述男孩并非个例。
今年6月,福建也有一名5岁女孩的家长在社交平台求助称,5岁的女儿曾于6月7日和14日游泳、泡温泉,6月22日,女儿出现头痛、低热、呕吐的情况,23日住院后陷入昏迷,转入重症监护室治疗,27日女儿被检测出感染了“食脑虫”。情况十分危急。
4天前,该博主发布消息称,孩子已在PICU待了45天。
另据报道,国家传染病医学中心、复旦大学附属华山医院感染科曾收治一个15岁的孩子,他因常在家乡贵州的河塘中游泳,感染了 “狒狒阿米巴原虫”,从出现早期病变到抢救无效去世,仅仅半年时间。
什么是“食脑虫”?事实上,“食脑虫”并非肉眼可见的虫子,而是一类分布于自然界中的单细胞生物阿米巴原虫(变形虫“Amoeba”的中文译音)。
首都医科大学附属北京友谊医院、北京热带医学研究所主任医师王磊介绍,目前,称之为“食脑虫”的阿米巴原虫有三种:福氏耐格里属阿米巴、狒狒巴拉姆希阿米巴、双核匀变虫。

阿米巴原虫感染主要分为皮肤感染和颅脑感染。通常来说,阿米巴原虫有两种途径进入人体。
一种是通过农业工作。一些农民在田野里劳作时,寄生虫可通过皮肤进入人体,感染后皮肤会出现红斑、难以治愈,可以通过皮肤活检的方式检测阿米巴原虫。如果感染时间过长,寄生虫进入颅脑组织,治愈率会大大降低。
另一种是在江河、水塘中游泳或用被污染的水源冲洗鼻腔时,寄生虫可从鼻腔进入人脑,迅速繁殖,引起脑部炎症等。原发性阿米巴脑膜脑炎发病急,病情发展迅速。一开始,被感染者会出现头痛、发热、呕吐等症状,随后迅速转为瘫痪、昏迷,最快可在一周内死亡。因此,在国外,阿米巴原虫又有“食脑虫”的恶名。
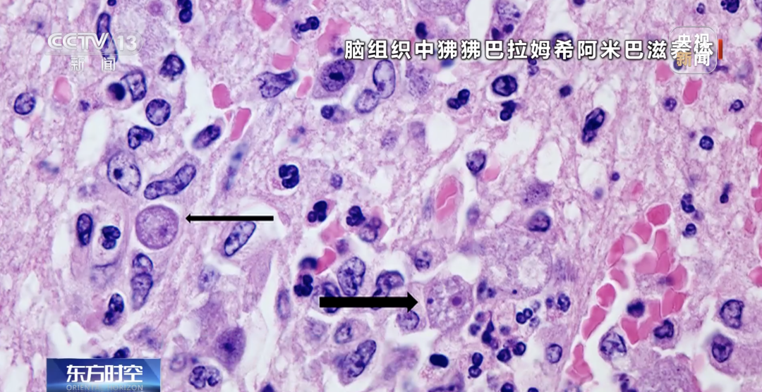
食脑虫通常通过鼻腔进入大脑,引起脑实质损害
专家表示,根据现有儿童“食脑虫”感染病例统计,其踪迹涉及内蒙古、海南、山东、山西、武汉、浙江等地,显示“食脑虫”在我国淡水水域分布较广。目前,海水环境中尚未发现感染病例。值得注意的是,全球仅报告过一例通过自来水感染的“食脑虫”病例。
病死率高达98%
关键在于早发现早治疗
复旦大学附属华山医院感染科副主任王新宇表示,“在中国,食脑虫(感染)属于罕见事件,感染概率极低,一年到头全国也难得见到几例,但感染者中多见幼儿、青少年群体。如果得了这种疾病,一旦(虫体)进脑,病死率很高,发病后病情常在一周内迅速恶化。”公开资料显示,一旦感染福氏耐格里阿米巴病原,病死率高达98%。
王新宇提醒,这种疾病早期易被误诊,起初患者只是“发烧+头痛”,不少人会被按普通病毒性脑膜炎或细菌感染等疾病处理,等真相大白时已错过最佳窗口。
他强调,鼻腔被温暖的淡水猛冲,是最典型的感染途径。如果在“温暖淡水呛鼻”后一两周内,出现高烧、剧烈头痛、恶心呕吐、颈脖僵硬,甚至很快意识模糊,务必立刻就医,并主动告诉医生“我最近在哪个水域把水呛进鼻子了”,以便对有关水域水质进行检测,进一步确认病因。
王磊介绍,这三种阿米巴原虫对人体造成损害主要有两方面:
造成皮肤性损害。阿米巴原虫通过破溃的皮肤进入人体以后,在破溃的局部形成肉芽肿性改变。
侵入中枢神经系统,导致患者出现间断或者持续性的抽搐、昏睡昏迷,以颅内高压为表现的恶心、呕吐、头疼,大约在1—2周以后就会造成不可逆转的神经系统病变。
7月11日,中国疾控中心发布关于“食脑虫”的健康提示。其中称,我国迄今累计报告狒狒巴拉姆希阿米巴感染病例仅40余例,属罕见的寄生虫病。公众无需过度紧张,但需提高防护意识。
疾控机构提出五项针对性预防建议,包括避野水,尽量避免在野外湖泊游泳或戏水,避免搅动水体沉积物;护口鼻,在自然水体活动时佩戴鼻夹、泳镜;防伤口,皮肤有破损时避免接触自然水体;洁鼻腔,使用灭菌生理盐水或煮沸冷却后的水冲洗鼻腔;排陈水,长期未使用的水管,需先排放积水再使用。
总而言之,正确掌握预防方法,遵守饮用水卫生原则,可有效降低感染风险。暑期亲水,安全为先,科学防护方能清凉一夏。
来 源丨央视网综合央视新闻、新华社、央广网、都市快报、九派新闻、中国青年报