8月14日,合肥市民陈先生发布的一段寻人视频在社交平台上引发网民热议,在合肥某商场的儿童乐园内,陈先生的女儿在玩耍时手臂被卷入一旁的旋转木马。就当女孩被绞住拖拽时,一旁的戴眼镜男子在听到女孩哭喊声后立刻用身体将旋转木马拦停。而视频发布者陈先生直言“全网寻找这位眼镜大哥,要是没有他我女儿胳膊就彻底断了。”

8月14日上午,大皖新闻记者联系到视频发布者陈先生,据其介绍,因为家住事发商场附近,所以妻子经常会带4岁的女儿去该商场内的一家儿童乐园内玩,“事发那天是上周六(8月9日),当时我爱人在外面等,孩子在里面玩。”
陈先生介绍,从视频中也能清晰地看到,儿童乐园里的积木是抵着墙搭建的,“积木旁边就是旋转木马,我女儿在地上玩时胳膊就被卷进了积木和旋转木马中间的空隙里。”陈先生称,当时旁边戴眼镜的大哥听到他女儿的哭喊声后便第一时间上去帮忙,“他先是用身体的蛮力把这个电驱的旋转木马顶住强制它停下来,然后赶快喊人来帮忙。”
事发后,由于担心孩子,陈先生的妻子第一时间带孩子前往医院,“当时注意力全在孩子身上,也没来得及留电话,事后监控里才看到(戴眼镜男子)大哥的帮忙,要不是他看到,孩子可能就不仅仅是骨折了。”


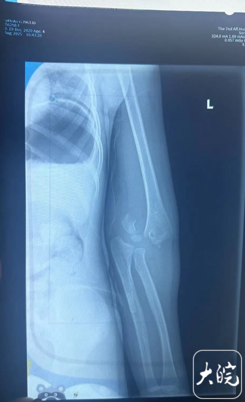
随后陈先生也向记者展示了孩子入院后的诊断报告,“左侧肱骨远端见骨质连续性中断,可见骨折线影,断端稍分离,远端软组织内可见碎骨片影。”陈先生告诉记者,目前孩子已经完成手术,“这两天也在和儿童乐园方面协商解决此事。”
而对于选择发布视频全网寻人,陈先生表示他目前还没有找到这位热心的戴眼镜大哥,“这两天视频火了,我也希望有认识的热心网友能帮我找到大哥,我肯定要带着孩子上门感谢。”
大皖新闻记者注意到,在这条寻人视频的评论区内,有不少网民上传了一张视频截图,截图中是一位网民在寻人视频下方留言质疑陈先生是想找视频中男子索赔,而陈先生回复“不然呢”。因此在这条视频评论区中网民也是话风转变,不少人开始攻击陈先生。对此,陈先生也向记者进行澄清,“我当时看岔了,有网民问我是不是想找儿童乐园方索赔,我就这么回复了,发现回复错后我就删了,结果被人截图恶意曲解来攻击我。”不过陈先生坦言,他现在也无暇去关注一些网民对他的误解,“现在一方面是处理孩子的事,另一方面是找到大哥表示感谢。”