白天困成狗,晚上嗨如狼。威士忌加护肝粉,啤酒杯里泡党参……
一边熬夜、喝酒,一边害怕看体检报告,说的是不是你?
这不,一深圳35岁的设计师熬夜+喝酒,差点“喝坏”脑子。
持续酒精轰炸+熬夜
35岁男子大脑濒临崩溃
35岁的设计师小董平时很少喝酒,但回老家参加婚礼后,一连半个月他都沉浸在酒精的世界里一发不可收拾:
4月15日:婚礼当晚鸡尾酒、白酒、啤酒三连击,凌晨3点睡,5点起床接亲,几乎没合眼;
4月16日:继续“赶场”喝洋酒、白酒,再次熬到凌晨;
4月19日:见老同学,白酒啤酒接着喝;
4月23日:白酒+啤酒+KTV嗨到凌晨3点;
4月24日:喝酒后走路摇晃、不慎摔倒,次日双手发抖,仍硬撑继续喝;
4月29日:睡不着,用白酒和鸡尾酒“助眠”,结果一夜无眠……
这么个喝法,是个神仙也得倒,更何况这期间小董还动不动就熬到凌晨,只睡2、3个小时。
不出意外的话,就要出意外了。
小董本以为手抖、走路摇晃只是因为喝醉酒,却在回到深圳后加重为意识模糊、口齿不清、记忆力下降和视物模糊,眼睛需要盯住一个地方很久才能看清物体。

小董的老婆当晚就“提着”他去南科大医院的急诊,医生的建议是住院仔细检查。
可小董听到要住院,“连夜逃走”回了家。回家后的小董又是一夜未眠。
第二天就是五一假期,小董原本打算和家人出去好好玩玩,结果却开始出现幻听:听到有人敲门,耳朵里有杂音,还能听到熟悉的人讲话……
二次送医
确诊为“脑子坏了”
再次来到医院,医生一边听小董描述症状,眉头是越来越紧。
小董被紧急收治入院,并转入神经内科。
“医生,是酒精中毒吗?”想到最近小董疯狂饮酒的生活,小董的老婆问道。
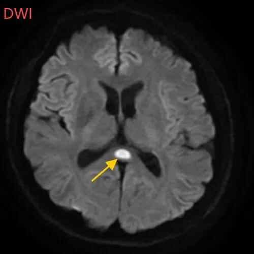
医生摇摇头,经过头部磁共振平扫、弥散、增强影像等检查,医生诊断,小董是得了一种比较少见的病症:可逆性胼胝体压部综合征。

什么是“可逆性胼胝体压部综合征”?
如果把大脑比作一座城市,胼胝体就是连接左右脑的“跨海大桥”,而胼胝体压部正是桥上的“核心枢纽”。当它因酒精、熬夜或感染“肿了”,大脑信号就会“堵车”,引发一系列“故障”。
“压部”病变:胼胝体压部是大脑里的“视觉总监”,眼睛所看到的信息传送到大脑后,由它负责反应整合成图像在脑海中呈现。“压部”发生病变后,就像电视机信号接收不良,屏幕出现雪花一样,眼睛视物就会受到影响。
除了“压部”,胼胝体的其他部位也有病变,所以小董才会出现幻听、手抖等症状。
多种手段齐下
强制“重启”大脑
一入院,医生为小董查体,发现其意识模糊,手抖,幻听,视物不清,近期记忆力及计算力下降。

神经内科主任白春艳根据小董的症状结合自己的经验,快速果断地为小董进行紧急治疗:
补充大剂量B族维生素(尤其是B1)
抗病毒
改善精神症状及睡眠障碍
于是,入院后的小董除了吃饭、上厕所外基本都在睡觉。
“为什么第一时间给患者补充大量B族维生素呢,这是为了给胼胝体‘消肿’。”神经内科主任白春艳解释。
胼胝体压部病变普遍认为可能与细胞毒性水肿有关,而水肿的诱因通常是因为大量饮酒后导致维生素B1摄入障碍,辅酶缺乏。
同时因为长时间的熬夜、休息不足,小董的大脑不堪重负,通过镇定剂长时间入睡,可以让他的大脑得到充分休息,相当于强制关机。
多管齐下的治疗让小董很快得到了恢复:
- 入院4天后,小董的不适感消失,神志完全恢复,讲话正常,没有幻觉和视物不清;
- 入院5天,丢失的记忆又找了回来(入院时的小董失去了前面几天的记忆)
“找回记忆”的小董这才想起来,在4月28日的时候自己曾出现过咳嗽、咽喉痛等感冒症状,但只是自服了一点感冒药。
这说明,小董的病症还有可能是病毒感染引起的。但幸好及时进行了抗病毒治疗,否则后果不堪设想。

目前,小董已基本恢复,手不抖了,走路不晃了,记忆力和计算力也回到患病前的水平。
医生紧急提醒:
身体发出这些信号,快就医!
喝酒+熬夜=致命组合!
四大高危诱因:
⚠ 酗酒:酒精扰乱脑代谢,直接“毒害”神经
⚠ 熬夜+疲劳:身体透支,大脑“保护膜”变脆弱
⚠ 病毒感染(如感冒、流感):免疫力下降时趁虚而入
⚠ 代谢异常:低血糖、电解质紊乱“火上浇油”
如果你在熬夜、喝酒后出现以下症状,千万警惕:
⚠ 手抖、走路不稳(像踩棉花)
⚠ 幻觉幻听(听到不存在的声音)
⚠ 视力模糊、记忆断片(想不起近期的事)
⚠ 意识模糊、说话不清
医生提醒,这种病“来得猛,去得快”,但关键是早发现、早干预。
熬夜加喝酒这俩凑一块简直是“暴击组合”:
☞ 肝、肾、胃连夜加班,迟早罢工抗议
☞ 抵抗力崩盘,病毒细菌趁机偷袭,感冒发烧找上门
☞ 短期内可能引发急性不适,长期则增加慢性病风险
记住喽
身体不是铁打的
不可过度透支
别等身体拉响警报才后悔
转发提醒身边人!
(中国新闻网微信公号综合南方都市报微信公号、深圳大件事微信公号、N视频报道)