返回顶部
在中肿切除巨大肿瘤后1天就下床走路,是因为......
“没想到切除这么大的肿瘤还能保住食管,真是太感谢中肿的专家了!”近日,来自惠州的古先生(化名)因为巨大肿瘤来到了中山大学肿瘤防治中心黄埔院区,胸科杨浩贤主任医师团队联合内镜科、手术麻醉科为他实施了全孔机器人食管巨大平滑肌瘤切除术,并且成功保留食管,创造了机器人精准微创手术的又一个“奇迹”!
“小毛病”变成“大麻烦”
从2010年开始,谷先生就一直受到反酸、嗳气和吞咽困难等症状的困扰,但一直保守治疗。3年前,单位体检发现他的食管有一肿物,但当时肿物较小就没有重视。
直到去年年底,古先生感觉吞咽更加困难了,连吃粥都很费劲,再次复查竟然发现之前很小的肿物已经占据了几乎整个食管腔,造成食管下段严重狭窄,长度竟有将近8cm。食管在胸腔段的长度只有20cm左右,这么大的肿瘤把古先生吓坏了,急忙赶到当地大医院就诊。
经过进一步的检查,当地医生判断这极可能是比较罕见的食管平滑肌瘤。它虽然是良性的,但是因为体积太大,传统上需要通过开胸大切口手术来切除肿瘤。在手术过程中,如果食管粘膜受到严重损伤,甚至需要切除部分食管,并开腹将胃制作成管道形状,在胸腔与食管对接进行消化道重建。这样的方式,手术创伤极大,术后常常出现吻合口瘘、营养不良等严重并发症,不仅增加手术风险,还将严重影响患者的生活质量。
“既然是良性肿瘤,就没有既能完整切除肿瘤,又能保存食管的方法吗?”古先生实在没想到,几年前忽视的小肿瘤竟会发展到如此地步。
“还是有一线希望的,如果使用机器人手术或许可以圆满地解决你的问题,你可以去中山大学肿瘤防治中心找找杨浩贤主任医师。”当地医院胸外科主任明白古先生的难处,于是推荐他来中肿。
在专家门诊上,杨浩贤主任医师仔细查看了古先生的检查结果,他认为食管平滑肌瘤的诊断是正确的,但如此巨大的平滑肌瘤实属罕见。
“我认为可以用机器人手术试一试,有很大的成功机会!”杨浩贤主任医师又重新点燃了古先生的希望。”
突破以往手术治疗的“禁区”
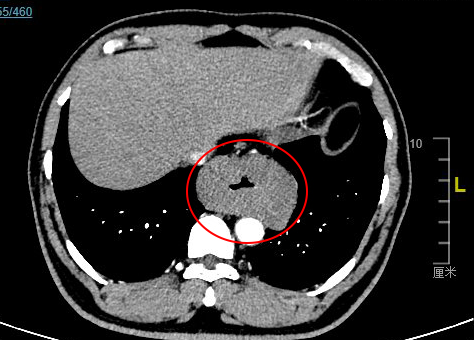
治疗前,杨浩贤主任医师为古先生安排了全面细致的术前检查。胸腹部CT检查结果提示,食管胸下段管壁不均匀环形增厚,最厚处达42mm,长约81mm,与胸主动脉相贴;超声胃镜检查确认了在距离门齿约35-40cm处,可见食管近全周粘膜下隆起肿物,表面粘膜光滑,起源于食管固有肌层,累及食管全周,病情非常复杂。

CT图像显示肿瘤环绕食管全周,压迫食管腔,肿瘤长径达8cm

术前超声胃镜检查发现食管几乎完全堵塞
“肿瘤不仅非常大,而且呈O型包绕食管全周,手术中想要完整切除还要保护食管粘膜不受损伤,简直是难于登天!”看完检查结果后,杨浩贤主任医师认为病情比想象中更复杂。
但是,机器人手术系统就是让以往不敢想象的事成真。基于团队丰富的机器人精准微创手术经验,杨浩贤团队认为在手术机器人的协助下,不仅能够彻底切除肿瘤,而且能够完整保留整条食管,并且是在微创切口下完成。
精心准备、密切配合,推演各种可能发生的意外情况并做好应对预案,这是杨浩贤主任医师对手术团队的要求。手术团队和相关科室医生护士进行了认真讨论,制订了全面细致的手术方案,并且与古先生和家属充分沟通,确保万无一失。
手术当天,杨浩贤主任医师早早来到手术室,和麻醉医师李毅、洗手护士王小知、巡回护士杨小芳、手术助手谭子辉博士以及博士生杨沐籽、硕士生王仲宇等一起着手准备,包括手术体位、切口位置、器械选择等方方面面逐一落实。
在紧锣密鼓的准备后,这次手术的重要角色登场,它就是目前最先进的第四代机器人手术系统。通过放大10倍的三维高清视野,这个系统为外科医生提供了身临其境的手术感受,360度自由转弯的手术器械使外科医生操作更加灵活。通过机器人手术系统,许多以往手术治疗的“禁区”得以被突破。
杨浩贤主任医师端坐于机器人手术系统操作台,助手在手术床边熟练地完成打孔和安装机械臂的操作,一切准备就绪,手术正式开始。
手术刚开始就可以明显看到,在食管与胃的交界部有一个巨大隆起的肿物,杨浩贤主任医师一人操作四条机械手臂,灵活轻巧地剥开肿瘤表面的食管肌层,肿瘤的完整形状慢慢呈现在眼前。在助手的协助下,杨浩贤主任医师将形状极为不规则的肿物与食管分离,小心翼翼地保护好如纸张一样薄的食管粘膜,仅用不到一小时便完整切除肿物,最终将食管肌层缝合,使食管完整如初,手术顺利结束!

机器人精准微创手术
快速康复!第二天下床,
胃镜确认食管粘膜完好无损!
“肿瘤完整切除,而且食管也保住了!”古先生苏醒后,杨浩贤主任医师第一时间把好消息告诉了他。
由于手术是在微创方式下完成,古先生术后并未感觉到明显的疼痛,整个人的精神也非常好,在胸科四区护理团队的呵护下,术后1天就下床走路,术后第3天,胃镜下可以看到原先的肿物已经完全消失,狭窄的食管已经恢复正常,食管粘膜完整无损。

术后胃镜检查可见肿瘤消失,食管粘膜完整无损
“这么说我现在就可以喝水吃东西啦?”古先生激动地问道。
“没错,手术非常成功,你现在就可以正常饮食,如果你愿意,今天就可以出院!”听到杨浩贤主任医师满怀信心的回答,古先生和家属非常高兴。”

出院前,古先生精心准备锦旗与胸科四区部分医护人员合影
在中山大学肿瘤防治中心黄埔院区,胸科医护团队以机器人与胸腔镜微创手术和快速康复为技术特色,攻克了一个又一个技术和护理难关,相关成果先后两次在国际胸外科会议上作口头报告,还牵头主编了我国第一部机器人胸部肿瘤微创外科专著。目前,科室已经成为我国重要的机器人胸部肿瘤微创手术和快速康复培训中心,在服务来自全国各地的广大患者的同时,也为我国兄弟单位培养了一批又一批机器人与胸腔镜微创胸外科人才。
返回顶部
